Tình trạng răng bị mòn cần sớm có giải pháp khắc phục phù hợp nhằm đảm bảo tình trạng răng miệng tốt hơn. Cùng tham khảo những thông tin liên quan ở bài viết sau. trồng răng hàm implant được thực hiện ra sao?
Răng bị mòn lệch chủ yếu do các tác động cơ học hoặc hóa học gây nên. Thực tế răng cửa không đóng vai trò làm chức năng chính khi ăn nhai như răng hàm nhưng lại có chức năng chính trong khâu cắn, do đó sẽ có lực tác động nhất định đến phần men răng bên ngoài. Răng cửa bị mòn lệch có nguyên do cơ bản ở cách chăm sóc răng miệng không khoa học khi sử dụng bàn chải cứng chải quá mạnh trên phần thân răng khiến cho lớp men bên ngoài theo thời gian bị bào mòn đi.
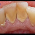
![]() |
| Tình trạng cổ răng bị mòn |
Các tác nhân hóa học như axit có trong thực phẩm, đồ uống hay sự trào ngược dịch vị dạ dày cũng khiến cho răng có nguy cơ mòn men dần. Răng cửa bị mòn lệch chủ yếu bị mòn vẹt ở một bên nhất định, đặc biệt là thói quen ăn nhai ở một bên. Răng cửa bị mòn lệch tức là phần men răng đã bị bào mòn, dẫn đến lộ ngà, kích thích lên các dây thần kinh trong tủy, do đó bệnh nhân thường có cảm giác ê buốt. Vậy, niềng răng mất bao lâu?
Trám răng cửa bị mòn lệch có hiệu quả hay không?
Trám răng là cách khắc phục tình trạng răng cửa bị mòn lệch khá hiệu quả và được áp dụng phổ biến tại các phòng nha. Đây là phương pháp dùng vật liệu nha khoa trám phủ lên phần răng bị mòn nhằm phục hình cho răng và che đi phần răng bị mòn men, lộ ngà, hạn chế ê buốt có thể xảy ra. Việc trám răng không chỉ có tác dụng giảm ê buốt mà chính phần vật liệu này có thể hạn chế phần nào những tác động bên ngoài vào răng bởi một khi răng đã bị tổn thương về cấu trúc thì việc tác động dần bởi vi khuẩn hay lực nhai cũng như axit rất dễ dẫn đến tình trạng bào mòn dần đến chân răng.
Tuy nhiên, cũng cần phải nói thêm, trám răng cửa bị mòn lệch thường có độ bền không cao, thông thường vết trám có thể duy trì được trong vòng vài năm. Độ bám dính chính là một trong những hạn chế cơ bản của phương pháp này. Theo thời gian, dưới tác động của lực nhai và axit thì chỗ trám sẽ có xu hướng bị bong tách khỏi bề mặt răng và dấu hiệu bị xỉn màu. Muốn duy trì được độ bám chắc của vết trám thì cần thiết phải thực hiện theo chuẩn kỹ thuật cũng như có sự hỗ trợ của công nghệ trám tốt.
Laser Tech đang được Hiệp hội Nha khoa Hoa Kỳ ADA khuyên sử dụng trong các trường hợp trám răng để duy trì độ bền chắc cao nhất. Sáng tạo mới nhất này của Bệnh viện Răng hàm mặt Forsyth của Hoa Kỳ được áp dụng tại hầu khắp các trung tâm nha khoa lớn trên thế giới và Nha khoa Đăng Lưu cũng là một trong những địa chỉ vinh dự được Bệnh viện chuyển giao trực tiếp công nghệ. Thực hiện hàn trám răng cửa bị mòn lệch với công nghệ mới tại Đăng Lưu bạn hoàn toàn có thể yên tâm về độ bền chắc của vết trám, đảm bảo ăn nhai hoàn toàn bình thường.
TG: Trang
